Corso Nazionale 31, Scafati, (SA)
Studio Verrusio Dentista Angri Radiografie e Tac 3D Odontoiatra Invisalign Dentista Bambini Medicina Estetica
Studio Verrusio - Dentista Angri
Dentista Scafati, Dentista Pompei, Dentista Angri, Radiografie e Tac 3D, Tac odontoiatriche, Tac denti - Radiografie denti, Odontoiatra, Medicina Estetica, Dermatologia, Posturologo, Nutrizionista, Implantologia, Invisalign, Dentista Bambini, Sedazione Cosciente, Ortodonzia invisibile, Gengivite Parodontite Piorrea Faccette Laser Filler
Lo Studio
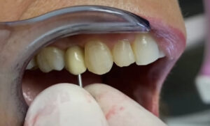
Lo Studio dentistico Verrusio a Scafati, a Corso Nazionale 31, è composto da ambienti di lavoro differenti. Lo studio odontoiatrico è infatti composto da una Sala Chirurgica, in cui vengono eseguiti dal Dr. Carmine Verrusio interventi in sedazione cosciente di implantologia dentale, implantologia a carico immediato, chirurgia dei terzi molari o denti del giudizio, parodontologia o piorrea e rigenerazione ossea; nella Sala di Estetica Dentale il dentista Dottor Antonio Verrusio mette a disposizione dei pazienti afferenti alla clinica dentale le più importanti tecniche per curare la carie, per realizzare le faccette dentali in ceramica, le corone in zirconio, intarsi dentali, denti fissi subito grazie allo scanner intraorale e all’impronta ottica, trattamenti laser odontoiatrici, invisalign. La terza sala è per il dentista dei bambini, a Scafati Pompei Angri, siamo l’unico centro medico studio dentistico che ha realizzato un servizio specialistico per i bambini; infatti l’odontoiatra dello studio verrusio in corso nazionale 31 si avvale dell’esperienza di consulenti esterni del policlinico Federico II di Napoli, per la pedodonzia o odontoiatria pediatrica, quindi la cura della carie dei denti di latte, e per l’ortodonzia, quindi l’apparecchio con le stelline per allineare i denti e anche le mascherine trasparenti invisalign. Per la nostra professionalità ed esperienza ci proponiamo come il tuo dentista a scafati di riferimento.
I Nostri Trattamenti
news
Lo Staff
Contatti
+39.379.13.81.092





