Corso Nazionale 31, Scafati, (SA)   -   Tel.: +39.379.13.81.092   -   mail: info@studioverrusio.com

Faccetta Dentale: che cos’è? Come si applica? C’è il rischio che si stacchi?

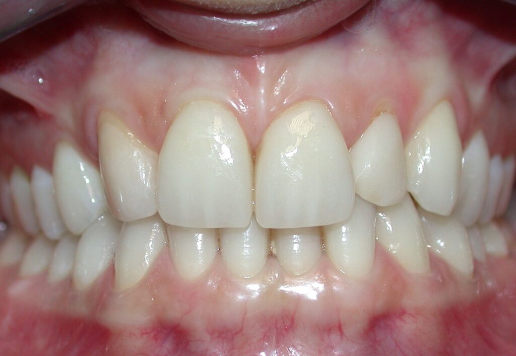
Le faccette dentali, dette anche veneers, sono lamine estremamente sottili, con spessore compreso tra 0,5 e 0,7 mm, che vengono applicate sulla superficie esterna dei denti. Sono realizzate in ceramica e hanno la funzione di migliorare l’estetica (colore e forma dei denti), migliorare la posizione di uno o più denti, modificare la lunghezza dei denti.

Le faccette possono essere applicate in presenza di denti scheggiati, denti piccoli, denti storti, denti ingialliti. Ci sono circostanze in cui deve essere preferito un altro approccio (capsule o corone), quando i denti interessati sono molto ricostruiti (in seguito a processi cariosi) o in caso di grossi affollamenti dentari (gravi malocclusioni).

Le faccette dentali rovinano i denti?

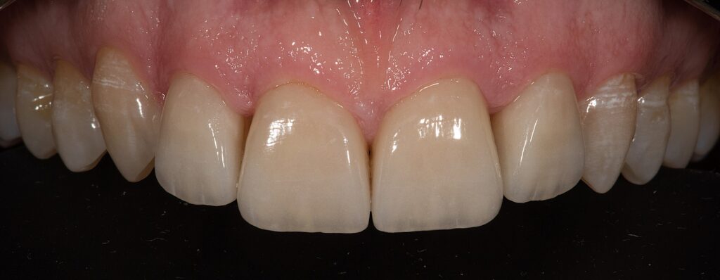
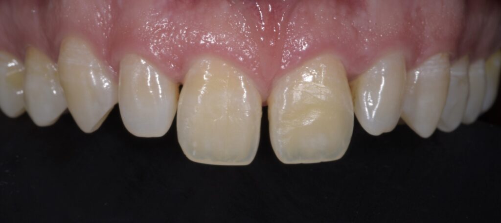
Le faccette dentali vengono applicate solamente sulla superficie esterna dei denti, mediante cementazione definitiva. Nella maggior parte dei casi parliamo di faccette NO Prep (senza preparazione), cioè senza toccare minimamente il dente ma lavorando per addizione (la faccette verrà semplicemente applicata alla superficie originaria del dente in questione). In altri casi più sporadici, in presenza di una situazione clinica più grave (affollamento o malposizione) è necessario ritoccare tale superficie esterna per poter ottenere il risultato ricercato; questa condizione in alcun modo può rovinare i denti naturali che, insieme al legante, risultano essere totalmente biocompatibili, né producono alcuna alterazione nella struttura del dente.

L’importante, come si indicava, è che i denti su cui sono applicate le faccette siano perfettamente in salute e che condizioni quali il bruxismo siano state risolte. Differentemente si rischia di complicare o peggiorare la situazione.

Faccette dentali, pro e contro

Per riassumere, i vantaggi delle faccette sono:

  • recuperare un sorriso più sano
  • la risoluzione di problemi estetici
  • il ripristino dello smalto danneggiato.

Gli svantaggi possono invece essere:

  • costi importanti
  • una procedura che è irreversibile e richiede un supplemento di cura orale.