Corso Nazionale 31, Scafati, (SA)   -   Tel.: +39.379.13.81.092   -   mail: info@studioverrusio.com

Sbiancamento Dentale: quanti tipi conosci? quanto tempo dura?

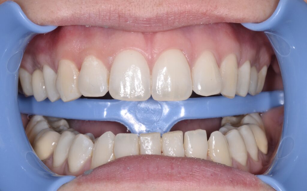
Lo sbiancamento dei denti è un intervento non invasivo che permette di riportare lo smalto dei denti al suo colore originario, attraverso un trattamento che utilizza particolari agenti sbiancanti. Tutti sanno che lo smalto dentale può cambiare colore a causa della pigmentazione di cibi e bevande (caffè e vino), dell’abitudine di fumare o semplicemente del tempo. Laddove l’igiene dentale non basta, si può ricorrere a questo trattamento per avere un sorriso sano, pulito e luminoso.

Come si realizza?

 

Il trattamento sbiancante consiste nell’applicazione sulla dentatura di un prodotto sbiancante gel a base di perossido di idrogeno.

Grazie a una fonte luminosa foto attivante (lampade speciali a LED o apparecchi laser specifici), il prodotto sbiancante libera ossigeno. Assorbite da smalto e dentina, le molecole di ossigeno disgregano le molecole che costituiscono i pigmenti che causano l’alterazione cromatica dei denti.

Esistono differenti procedure, ognuna con un effetto diverso più o meno inteso:

  • Sbiancamento Professionale in Studio: il paziente si sottopone a una seduta di sbiancamento presso il nostro centro della durata di 30 minuti, in cui si faranno massimo due applicazioni. A seconda della percentuale di perossido di idrogeno che contiene il materiale che decidiamo di utilizzare (se si tratta del primo sbiancamento la percentuale sarà più bassa) otterremo un effetto più o meno intenso e duraturo nel tempo.
  • Sbiancamento Domiciliare: il paziente, dopo aver eseguito il trattamento professionale alla poltrona, decide di aumentare ancora di più l’effetto finale, in questo caso verranno consegnate al paziente delle mascherine trasparenti individuali con le quali continuerà il trattamento a casa di notte.

Quanto dura l’effetto dello sbiancamento dentale?

 

La durata dell’effetto del trattamento sbiancante è legata al tipo di procedura che si è scelto di realizzare e alle proprie abitudini (alimentari e vizi). Per quanto riguarda la procedura, è chiaro che se utilizziamo un materiale sbiancante con una percentuale di perossido di idrogeno avremo una dentatura molto più bianca e luminosa così come una durata maggiore (6-7 mesi). Se alla procedura alla poltrona aggiungiamo la terapia domiciliare, ecco che l’effetto sbiancante aumenta e la durata sale a 8-9 mesi. Sul lato opposto si collocano invece le abitudini alimentari e vizi, come la caffeina, la teina, le bevande gassate e il fumo che possono ridurre drasticamente l’effetto luminoso e sbiancante anche dei trattamenti più potenti.

Lo sbiancamento dentale è doloroso?

 

Il trattamento sbiancante non è per nulla doloroso, l’unico effetto indesiderato è la sensibilità dentale, ma appena si interrompe la procedura dopo pochi giorni scompare del tutto.

Può danneggiare i denti?

 

Il trattamento sbiancante è una procedura reversibile, questo vuol dire che qualunque tipo di cambiamento provoca nella struttura del dente esso stesso sarà reversibile. Terminata la procedura così come il dente ritorna al colore di partenza, così un cambiamento strutturale si ripristina completamente.